口腔外科
ORAL SURGERY
親知らずの抜歯

親知らずは、通常20歳前後に生える永久歯です。
正常にまっすぐ生えている場合は問題ありませんが、斜めや横向きに生えると、歯磨きが困難になり、虫歯や歯周病のリスクが増加するため、抜歯が必要になることがあります。当院では、レントゲン検査を通じて親知らずの状態を詳細に診断し、各患者様に最適な治療方針を提案いたします。抜歯が必要な際も、痛みを軽減した安全な処置を心掛けておりますので、どうぞご安心ください。
抜歯が必要なケース
- Case.01
生えている方向が斜めや
横向きで、磨くのが難しい場合
- Case.02
歯肉が腫れ、
炎症が生じている場合
- Case.03
隣接する歯や咬合に対して、
悪影響が生じる場合
口腔内粘膜疾患

口腔内の粘膜疾患は、舌、歯ぐき、頬の粘膜に現れるさまざまな症状を指します。
これには水疱、潰瘍、腫瘍などが含まれます。原因は歯からの刺激や細菌感染など多岐にわたりますが、当院では詳細な検査と診断を行い、患者様それぞれに最適な治療法を提案いたします。
必要に応じて専門の医療機関への紹介も行っておりますので、どうぞお気軽にご相談ください。
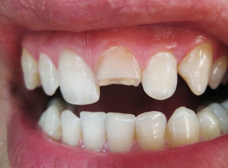
外傷による破折

外的な要因による歯の破損(折れた歯)に対する治療も行っております。
事故やスポーツ活動などで歯が折れた際には、迅速な対応が求められます。
治療方法は、破損の程度や位置によって異なり、接着やクラウンの装着、場合によっては抜歯およびインプラント治療が考慮されます。
当院では、豊富な経験を持つ専門医が、患者様の症状に応じた適切な治療を提供いたします。

